Lompat ke konten Lompat ke sidebar Lompat ke footer

Nucleus Caudate Ct Scan

If you are looking for Giant cell tumor of the clivus: A case report and review of the literature you've visit to the right web. We have 16 Pics about Giant cell tumor of the clivus: A case report and review of the literature like Brain MRI - NeurologyNeeds.com; Bilateral caudate nucleus infarction associated with variant in circle and also Giant cell tumor of the clivus: A case report and review of the literature. Read more:

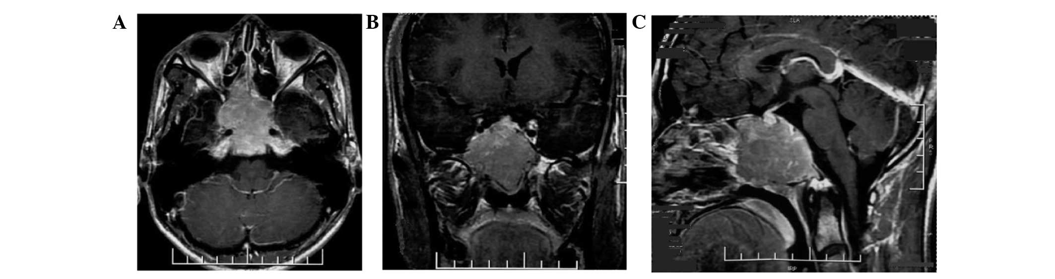
Giant Cell Tumor Of The Clivus: A Case Report And Review Of The Literature

Giant cell tumor of the clivus: A case report and review of the literature www.spandidos-publications.com

clivus tumor cell giant literature case report resonance ol figure

3D CT Scan For Perioperative Identification Of Anatomical Variations Of

3D CT scan for perioperative identification of anatomical variations of www.futuremedicine.com

anatomical lungs perioperative apical nodule coronal sagittal

Unilateral Calcification Of The Caudate And Putamen: Association With

Unilateral Calcification of the Caudate and Putamen: Association with www.ajnr.org

calcification putamen caudate unilateral globus pallidus basal ganglia hemorrhage venous anomaly intracranial underlying developmental ajnr 1848

Alzheimer Disease And Other Major Dementing Illnesses Part 2

Alzheimer Disease and Other Major Dementing Illnesses Part 2 what-when-how.com

dementia mri scan vascular alzheimer matter disease patient infarcts showing parieto occipital arrows cortical infarct multiple figure

Brain CT - NeurologyNeeds.com

Brain CT - NeurologyNeeds.com www.neurologyneeds.com

nuclei thalamus caudate lentiform

Brain MRI - NeurologyNeeds.com

Brain MRI - NeurologyNeeds.com www.neurologyneeds.com

mri caudate nucleus fornix tail head brain thalamus putamen plexus choroid

Pin On CT Scans

Pin on CT Scans www.pinterest.co.uk

Image | Radiopaedia.org

Image | Radiopaedia.org radiopaedia.org

radiopaedia

Ct Basics

Ct basics www.slideshare.net

foramen monro vermis ventricular cistern

Dynamic Contrast Enhanced CT In Nodule Characterization: How We Review

Dynamic contrast enhanced CT in nodule characterization: How we review cancerimagingjournal.biomedcentral.com

ct dynamic fig dce characterization contrast enhanced nodule report

Follicular Dendritic Cell Sarcoma In Mediastinum In 47- | Open-i

Follicular dendritic cell sarcoma in mediastinum in 47- | Open-i openi.nlm.nih.gov

mediastinal mediastinum calcification arborizing posterior

Head CT Anatomy | Radiology Key

Head CT anatomy | Radiology Key radiologykey.com

ct anatomy head skull axial base normal radiology radiologykey

Brain CT - NeurologyNeeds.com

Brain CT - NeurologyNeeds.com www.neurologyneeds.com

nuclei caudate lentiform thalamus

Cerebrovascular Diseases | Radiology Key

Cerebrovascular Diseases | Radiology Key radiologykey.com

basal ganglia brain infarcts cerebral stem infarction matter radiology artery middle diseases cerebrovascular fig deep 6a radiologykey

Bilateral Caudate Nucleus Infarction Associated With Variant In Circle

Bilateral caudate nucleus infarction associated with variant in circle jnnp.bmj.com

angiography jnnp segment infarction caudate nucleus bilateral bmj

Neuroanatomy Ct Scan - Ct Scan Machine

Neuroanatomy Ct Scan - ct scan machine ctscanmachines.blogspot.com

neuroanatomy scan textbook

Foramen monro vermis ventricular cistern. Alzheimer disease and other major dementing illnesses part 2. Bilateral caudate nucleus infarction associated with variant in circle

Posting Komentar untuk "Nucleus Caudate Ct Scan"